- HOME
- 症例案内
Case症例をご紹介します
「すずき矯正歯科」のこれまでの症例の一部をご紹介します。治療方法は患者様の症状に合わせて行いますので一人ひとり異なります。歯並びや咬み合わせにお悩みの際はまずはお気軽にご相談ください。当院では子供から大人まで外科矯正を含めた矯正歯科治療を行っています。
※矯正歯科治療は医療保険が適用されない自由診療です。
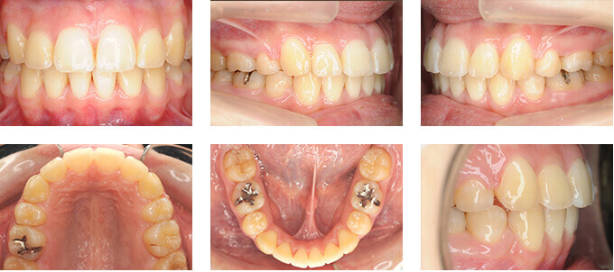
上顎前突 N様
| 年齢 | 10代女性 |
|---|---|
| 治療期間と通院回数 | 2年10か月/34回 |
| 治療費総額 | 77万円 |
| 主訴 | 口元の突出 |
| 診断名 | 上顎前突 |
| 主な使用装置 | マルチブラケットシステム 歯科用アンカースクリュー |
| 抜歯部位 | 上下顎両側第一小臼歯 |
| リスク | 歯根吸収、歯肉退縮が起きることがある。 |
-
初診時

-
終了時

-
初診時

-
治療後

この症例の解説
口元に突出や顎のシワは上下の前歯が前方に極端に突出しているため、起こる現象です。
上下の小臼歯を4本抜歯し、上下の前歯を内側に入れることにより自然と口が閉じるようになりました。
突出した口元がすっきりしただけでなく、顎のラインもシャープで自然になりました。
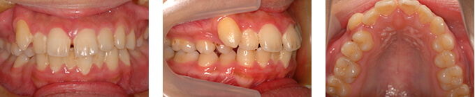
上顎前突 M様
| 年齢 | 10代男性 |
|---|---|
| 治療期間と通院回数 | 1年10か月/22回 |
| 治療費総額 | 71万円 |
| 主訴 | 八重歯 |
| 診断名 | 上顎前突 |
| 主な使用装置 | マルチブラケットシステム |
| 抜歯部位 | 上顎両側第一小臼歯 下顎両側第二小臼歯 |
| リスク | 歯根吸収、歯肉退縮が起きることがある。 |
-
初診時

-
治療後

この症例の解説
上顎前突の患者様で、小臼歯4本を抜歯して治療しました。
歯並びのデコボコやゆがんだ歯列も改善し、きれいな咬み合わせになりました。
上顎前突 K様
| 年齢 | 10代女性 |
|---|---|
| 治療期間と通院回数 | 2年6か月/30回 |
| 治療費総額 | 65万円 |
| 主訴 | 出っ歯 デコボコ |
| 診断名 | 上顎前突 |
| 主な使用装置 | マルチブラケットシステム |
| 抜歯部位 | 上顎両側第一小臼歯 |
| リスク | 歯根吸収、歯肉退縮が起きることがある。 |
-
初診時

-
治療後

この症例の解説
いわゆる「出っ歯」という状態です。
上顎前歯が突出し、奥歯の咬み合わせもずれています。上顎の小臼歯を2本抜歯して治療しました。
「出っ歯」はもちろん奥歯の咬み合わせもきれいに整いました。
前歯部反対咬合 F様
| 年齢 | 20代女性 |
|---|---|
| 治療期間と通院回数 | 1年5か月/17回 |
| 治療費総額 | 68.5万円 |
| 主訴 | 反対咬合 八重歯 |
| 診断名 | 歯性下顎前突 |
| 主な使用装置 | マルチブラケットシステム |
| 抜歯部位 | 非抜歯 |
| リスク | 歯肉退縮が起きることがある。口元が突出している場合大きな改善は見込めない。 |
-
初診時

-
終了時

この症例の解説
前歯部反対咬合の症例です。
一見、骨格性の反対咬合に見えますが、奥歯の咬み合わせはほぼ正常範囲内で上の前歯が内側に倒れ下の前歯が外側に倒れていることによって前歯が反対になっている症例です。非抜歯にて並べ下顎の歯を全体的に後ろに下げることにより治療しました。
叢生 M様
| 年齢 | 10代女性 |
|---|---|
| 治療期間と通院回数 | 4年3か月/51回 |
| 治療費総額 | 75.5万円 |
| 主訴 | デコボコ |
| 診断名 | 1級叢生 |
| 主な使用装置 | マルチブラケットシステム |
| 抜歯部位 | 非抜歯 |
| リスク | 歯肉退縮が起きることがある。口元が突出している場合大きな改善は見込めない。 |
-
治療前

-
治療後

-
治療前

-
治療後

この症例の解説
上顎前歯部に軽度のデコボコがありますが、奥歯の歯並びは正常に咬んでいる症例です。
まだ上顎に乳臼歯が残っていましたので、この隙間を利用してデコボコを治しました。非抜歯の治療のため顔貌に大きな変化はありません。
舌側矯正 N様
| 年齢 | 10代女性 |
|---|---|
| 治療期間と通院回数 | 1年10か月/22回 |
| 治療費総額 | 91.6万円 |
| 主訴 | 上の前歯が出ている |
| 診断名 | 上下顎前突 |
| 主な使用装置 | 上顎 リンガルブラケット 下顎 マルチブラケットシステム |
| 抜歯部位 | 上下顎両側第一小臼歯抜歯 |
| リスク | 上顎前歯歯軸のコントロールが難しい。歯根吸収、歯肉退縮が起きることがある。 |
-
治療前

-
治療後

-
治療前

-
治療後

この症例の解説
軽い前歯のデコボコと前歯の突出を気にされてご来院された患者様です。
目立つ矯正装置が嫌だとのことでしたので、上顎は舌側矯正(リンガル矯正)を、下顎はセラミックブラケットによる矯正歯科治療を行いました。
舌側矯正は通常の矯正装置にくらべて舌感が悪く、患者様に大きな負担がかかりますが、よくがんばってくれたのできれいに治りました。
開咬・顎偏位 S様
| 年齢 | 20代女性 |
|---|---|
| 治療期間と通院回数 | 2年11か月/35回 |
| 治療費総額 | 77.5万円 |
| 主訴 | 全く咬めない 八重歯 |
| 診断名 | 開咬 上顎歯列狭窄による下顎右方偏位 |
| 主な使用装置 | マルチブラケットシステム |
| 抜歯部位 | 上下顎両側第一小臼歯 |
| リスク | 歯根吸収、歯肉退縮が起きることがある。顔の曲がりが完全にとれないことがある。 |
-
治療前

-
治療後

この症例の解説
奥歯しか噛んでいない開咬症例でした。
さらに上下の歯の真ん中が大きくずれていて下顎も右にずれていました。
小臼歯を4本抜歯してデコボコを解消しながら下顎のずれも治してきれいな歯並びにしました。
上下の真ん中が一致し、前歯から奥歯までしっかり噛ませることができました。
開咬 T様
| 年齢 | 10代女性 |
|---|---|
| 治療期間と通院回数 | 1年11か月/23回 |
| 治療費総額 | 61.5万円 |
| 主訴 | 前歯で咬めない |
| 診断名 | 開咬 上顎前突 |
| 主な使用装置 | マルチブラケットシステム |
| 抜歯部位 | 上顎両側第一小臼歯 下顎両側第二小臼歯 |
| リスク | 舌壁が改善しない場合後戻りのリスクが非常に高い。歯根吸収、歯肉退縮が起きることがある。 |
-
治療前

-
治療後

この症例の解説
舌の突出癖(とっしゅつへき)が原因の前歯部開咬の症例です。
常に舌が前歯を押し出すため、前歯が「出っ歯」のように突出しています。
非抜歯の治療を行い、舌のクセを直す訓練をしました。
その結果、前歯がきれいに並び、噛めるようになっただけでなく、発音もきれいになりました。
叢生 A様
| 年齢 | 10代男性 |
|---|---|
| 治療期間と通院回数 | 2年10か月/34回 |
| 治療費総額 | 67.5万円 |
| 主訴 | デコボコ |
| 診断名 | 1級叢生 |
| 主な使用装置 | マルチブラケットシステム |
| 抜歯部位 | 上下顎両側第一小臼歯 |
| リスク | 歯根吸収、歯肉退縮が起きることがある。 |
-
治療前

-
治療後

この症例の解説
右上の犬歯が八重歯になっていて、そのとなりの歯が内側に入っています。
また下顎の歯は全体的にデコボコが目立ち、上の真ん中が大きく右にずれていました。
非抜歯での治療では歯が骨から飛び出してしまう危険性があったので小臼歯を4本抜歯する一般的な矯正歯科治療を行いました。
治療後は歯が顎の骨の中できれいに並んでおり、ずれていた上の前歯の真ん中もきれいに合いました。
矯正歯科治療に伴う一般的なリスクや副作用について
- 最初は矯正装置による不快感、痛み等がありますが、数日間~1,2週間で慣れることが多いです。
- 歯の動き方には個人差がありますので、予想された治療期間が延長する可能性がございます。
- 装置の使用状況、顎間ゴムの使用状況、定期的な通院等、矯正治療には患者さんの協力が非常に重要です。それらが治療結果や治療期間に影響します。
- 治療中は装置が付いているため歯が磨きにくくなります。むし歯や歯周病のリスクが高まりますので、丁寧に磨いたり定期的なメンテナンスを受けたりすることが重要です。また、歯が動くと隠れていたむし歯が見えるようになることもございます。
- 歯を動かすことにより歯根が吸収して短くなることがあります。また、歯ぐきがやせて下がることがございます。
- ごくまれに歯が骨と癒着していて歯が動かないことがございます。
- ごくまれに歯を動かすことで神経が障害を受けて壊死することがございます。
- 治療途中に金属等のアレルギー症状が出ることがございます。
- 治療中に「顎関節で音が鳴る、あごが痛い、口が開けにくい」などの顎関節症状が出ることがございます。
- 様々な問題により、当初予定した治療計画を変更する可能性がございます。
- 歯の形を修正したり、咬み合わせの微調整を行ったりする可能性がございます。
- 矯正装置を誤飲する可能性がございます。
- 装置を外す時に、エナメル質に微小な亀裂が入る可能性や、かぶせ物(補綴物)の一部が破損する可能性がございます。
- 装置が外れた後、保定装置を指示通り使用しないと後戻りが生じる可能性が高くなります。
- 装置が外れた後、現在の咬み合わせに合った状態のかぶせ物(補綴物)やむし歯の治療(修復物)などをやりなおす可能性がございます。
- あごの成長発育によりかみ合わせや歯並びが変化する可能性が高くなります。
- 治療後に親知らずが生えて、凸凹が生じる可能性がございます。加齢や歯周病等により歯を支えている骨がやせるとかみ合わせや歯並びが変化することがありますので、その場合、再治療等が必要になることがございます。
- 矯正歯科治療は、一度始めると元の状態に戻すことは困難になります。


