- HOME
- 子供の矯正
Child子供の矯正について

お子様の歯並びに気になるところはありませんか? 歯並びが乱れていると、きちんとブラッシングしているつもりでもお口の汚れを落としきれず、虫歯にかかりやすくなります。また咬み合わせがよくないときちんと咀嚼(そしゃく)できなくて、成長に必要な栄養を十分に摂取することが難しくなってしまいます。
こちらでは、長崎の「すずき矯正歯科」が子供の矯正についてお伝えします。お子様の口元が気になる親御様は、お早めに歯医者を受診させてあげましょう。
※矯正歯科治療は医療保険が適用されない自由診療です。
「すずき矯正歯科」の子供の矯正のコンセプト

骨格のずれや悪習慣などの問題を取り除き、歯や顎の健やかな成長発育を促すことが子供の矯正のコンセプトです。反対咬合や上顎前突(じょうがくぜんとつ)そして顎のゆがみなどの骨格的な不調和は、早めに改善することで大きな治療効果を得られます。子供の矯正の場合は、顎が成長する力を利用できるので、顎を広げて歯の生えるスペースを確保することが比較的簡単です。将来抜歯をせずに歯並びを整えられる可能性が高まります。
骨格や顎、そして歯の大きさは、子供一人ひとり異なります。子供の矯正においてはこの見極めが大切です。当院では、これまで培った知識と経験を活かして、お子様に合った治療を行っています。
子供の矯正歯科治療と大人の矯正(成人矯正)歯科治療の違い

子供の矯正は、成長期の顎の骨格の変化を利用してスペースを作り、歯並びを整える処置を行う治療が一般的です。そのため、抜歯せずに矯正歯科治療を進めることができます。また、大人ならば外科的処置が必要になる不正咬合などの治療も、子供時代に矯正を行うと負担が軽減されるといわれています。
一方で、お子様自身が矯正歯科治療に前向きになれず、矯正装置に対して強い拒否感が持つことがあります。矯正装置のせいで、食事に違和感があったり、虫歯にかかりやすかったりと、強いストレスで治療が進まないケースも考えられます。一人ひとりの性格に合わせて、前向きに取り組める環境を作ることが大切です。
子供の矯正歯科治療は、長崎のすずき矯正歯科にご相談ください。
子供の矯正歯科治療は早期対応で負担を軽減
口腔内の状態によっては、子供のときから矯正歯科治療に取り組むほうが効果的な場合があります。出っ歯・受け口・八重歯・開咬・顎のずれ・歯列外の特異な歯並びなど、顎の骨格に大きく関わる症例は早期治療をおすすめします。これらは、指しゃぶりや爪かみ、歯ぎしり、口呼吸など無意識のうちにやってしまうクセが大きく関わります。正しい姿勢で、良く咬んで食事をすることは、咬合不正や歯並びの悪化を抑えることにつながります。
子供の矯正のメリット
- 顎の成長に合わせて矯正歯科治療を行うことができるので効果的です
- 将来的に抜歯をせずに歯並びを整えられる確率が高まります
- 子供の場合、顎の成長が正しく促され顔全体のバランスが整います
- 口元を気にしないでよいので、自然で健康的な笑顔が手に入ります
いつから始めたらいいの?
治療効果を高めるためには矯正開始のタイミングが大切ですが、お口の状態によって異なるので、まずは一度専門家の診断を受けることをおすすめします。
子供の矯正の時期
子供の矯正の時期は大きく分けて2種類あり、それは1期(骨格矯正期)と2期(歯列矯正期)です。1期治療は3~12歳のころに、顎の骨のバランスや大きさを整える治療です。顎の成長を利用して行います。2期治療は10歳~成人に行う矯正歯科治療です。
治療開始の時期はお口の状態により異なりますので、早ければ早いほどよいというわけではありません。治療にはまだ早いと診断した際は、経過観察を行ってから開始します。適切なタイミングを逃さないためにも、当院の矯正担当医によるチェックを早めに、そして定期的に受けることをおすすめします。
症例紹介
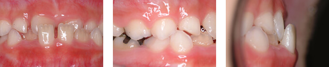
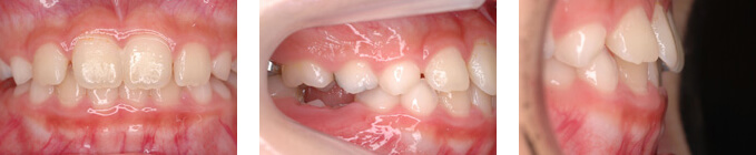
下顎後退による上顎前突
| 年齢 | 11歳女性 |
|---|---|
| 治療期間と通院回数 | 1年6か月/18回 |
| 治療費総額 | 29.4万円 |
| 主訴 | 出っ歯 |
| 診断名 | 骨格性上顎前突 |
| 主な治療装置 | バイオネーター |
| 抜歯部位 | 非抜歯 |
| リスクについて | バイオネーターは骨格タイプによって効果が大きい装置です。また、骨格的に向いている症例でも目標の成長量を達成できないことがあります。 |
-
治療前

-
治療後

この症例の解説
下顎が小さいことによって上の歯列が出て見える症例です。
下顎の成長を促すためにバイオネイターという装置を、就寝時を含めて1日12時間装着してもらいました。
約1年半で、いわゆる「出っ歯」が改善しました。
下顎前突
| 年齢 | 7歳女性 |
|---|---|
| 治療期間と通院回数 | 1年5か月/17回 |
| 治療費総額 | 29.1万円 |
| 主訴 | 反対咬合 |
| 診断名 | 軽度骨格性反対咬合 |
| 主な治療装置 | リンガルアーチ |
| 抜歯部位 | 非抜歯 |
| リスクについて | 成長期の下顎前突は一度治っても成長期に再発することがあります。 |
-
治療前

-
治療後

この症例の解説
東洋人に多い不正咬合です。
下顎が前にあることで上顎の成長が妨げられてしまうので、適切な時期に前歯の反対咬合を改善する必要があります。
子供なら上下の前歯が永久歯に生え替わった時点での治療開始をおすすめします。
成長期にまた反対咬合になってしまうこともあるので、成長を見守りながらの継続観察が必要です。
こちらの患者様は上の前歯が内側に、下の前歯が外側に傾斜している反対咬合でしたので、リンガルアーチを装着し、前歯の反対咬合を改善しました。
顎の左方偏位 K様
| 年齢 | 11歳男性 |
|---|---|
| 治療期間と通院回数 | 6か月/6回 |
| 治療費総額 | 27万円 |
| 主訴 | 上顎両側2番が内側に入っている |
| 診断名 | 上顎左側側切歯の早期接触による下顎左方偏位 |
| 主な治療装置 | セクショナルアーチ |
| 抜歯部位 | 非抜歯 |
| リスクについて | 下顎骨の歪みは早めに治療することで改善することが見込めますが、原因を取り除いても既に歪みが骨格に及んでいる場合は完全に治しきれないことがあります。 |
-
治療前

-
治療後

この症例の解説
左上の2番目の歯が内側に生えていて、右下の奥歯が内側に倒れていることで下顎が左にずれています。
そのまま放置すると、成長にともない顔がゆがんでしまう可能性があります。
成長期前に比較的簡単な装置をつけて、わずか半年で改善しました。
以後、経過観察中です。
叢生(そうせい)と顎の右方偏位 O様
| 年齢 | 10歳女性 |
|---|---|
| 治療期間と通院回数 | 2年3か月/27回 |
| 治療費総額 | 35.5万円 |
| 主訴 | 前歯の凸凹 |
| 診断名 | 上顎前歯部叢生及び下顎の右方偏位 |
| 主な治療装置 | セクショナルアーチ エクスパンジョンプレート |
| 抜歯部位 | 非抜歯 |
| リスクについて | 下顎骨の歪みは早めに治療することで改善することが見込めますが、原因を取り除いても既に歪みが骨格に及んでいる場合は完全に治しきれないことがあります。 |
-
治療前

-
治療後

この症例の解説
歯の生え替わりのときに永久歯の位置が悪かったために下顎が大きく右にずれ、さらに歯列まで非対称になってしまった症例です。
悪い位置に生えてきた永久歯の位置を治したあと、就寝時に装着する装置で下顎を正しい位置に誘導しました。
1年3ヶ月で大きく改善しました。
叢生と左側の鋏状咬合 I様
| 年齢 | 12歳男性 |
|---|---|
| 治療期間と通院回数 | 5か月/5回 |
| 治療費総額 | 26.5万円 |
| 主訴 | 上顎歯列のデコボコ |
| 診断名 | 上顎左側6番近心転位による上顎左側4番頬側転位及び鋏上咬合 |
| 主な治療装置 | セクショナルアーチ |
| 抜歯部位 | 非抜歯 |
| リスクについて | この症例では上顎の6歳臼歯を後方移動することで歯列を並べる治療を行っていますが、上顎骨の後方に十分なスペースがないと12歳臼歯が綺麗に生えてこないことがあります。また、上顎の親知らずを早めに抜歯する必要があることがあります。 |
-
治療前

-
治療後

この症例の解説
左上の奥歯の位置が悪かった為に左上の歯が外に飛び出してしまい全く咬んでいません。
子供の矯正ではブラケットをつけることは一般的ではないのですが症例によっては部分的にブラケットを装着することで大きな効果を期待できることがあります。
奥歯を正しい位置に移動させることで外側に飛び出ていた歯が自然と正しい位置に誘導され僅か5ヶ月で綺麗に咬みました。
矯正歯科治療に伴う一般的なリスクや副作用について
- 最初は矯正装置による不快感、痛み等がありますが、数日間~1,2週間で慣れることが多いです。
- 歯の動き方には個人差がありますので、予想された治療期間が延長する可能性がございます。
- 装置の使用状況、顎間ゴムの使用状況、定期的な通院等、矯正治療には患者さんの協力が非常に重要です。それらが治療結果や治療期間に影響します。
- 治療中は装置が付いているため歯が磨きにくくなります。むし歯や歯周病のリスクが高まりますので、丁寧に磨いたり定期的なメンテナンスを受けたりすることが重要です。また、歯が動くと隠れていたむし歯が見えるようになることもございます。
- 歯を動かすことにより歯根が吸収して短くなることがあります。また、歯ぐきがやせて下がることがございます。
- ごくまれに歯が骨と癒着していて歯が動かないことがございます。
- ごくまれに歯を動かすことで神経が障害を受けて壊死することがございます。
- 治療途中に金属等のアレルギー症状が出ることがございます。
- 治療中に「顎関節で音が鳴る、あごが痛い、口が開けにくい」などの顎関節症状が出ることがございます。
- 様々な問題により、当初予定した治療計画を変更する可能性がございます。
- 歯の形を修正したり、咬み合わせの微調整を行ったりする可能性がございます。
- 矯正装置を誤飲する可能性がございます。
- 装置を外す時に、エナメル質に微小な亀裂が入る可能性や、かぶせ物(補綴物)の一部が破損する可能性がございます。
- 装置が外れた後、保定装置を指示通り使用しないと後戻りが生じる可能性が高くなります。
- 装置が外れた後、現在の咬み合わせに合った状態のかぶせ物(補綴物)やむし歯の治療(修復物)などをやりなおす可能性がございます。
- あごの成長発育によりかみ合わせや歯並びが変化する可能性が高くなります。
- 治療後に親知らずが生えて、凸凹が生じる可能性がございます。加齢や歯周病等により歯を支えている骨がやせるとかみ合わせや歯並びが変化することがありますので、その場合、再治療等が必要になることがございます。
- 矯正歯科治療は、一度始めると元の状態に戻すことは困難になります。


